インプラントの長期症例より
インプラントの長期症例に見る、その意義
もし、インプラントという技術がなければ、この方はどうなっていたのだろう?
今回は、そう思わずにいられない症例をご紹介します。
初診時(2005年8月):34歳女性
主訴: 「食事ができないので、なんとかしてほしい」
口腔内の状態: 右側の一部でしか噛めない状態でした。
治療計画: インプラントによる噛み合わせの回復
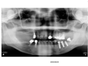
下のレントゲン写真は、左下の奥歯にインプラントを埋入し、骨との結合を待っている間のものです。今から約20年前のレントゲン写真です。

なぜインプラントが最善の選択だったのか
当時34歳という若さで、もし義歯を選択していれば、20年後には総入れ歯に近い状態になっていたことは容易に想像できました。なぜなら、単に左下の奥歯がないだけでなく、右側の上下大臼歯がすでに抜歯されており、さらにその手前の小臼歯も神経を抜かれ、被せ物になっていたからです。
この状態では、右側のごく一部の歯と前歯でしか噛むことができません。(レントゲン写真は左右反転されているため、向かって左側です)
もし、このまま何の治療もせずに、右側の一部と前歯だけで噛み続けていたら、どうなっていたでしょうか?
間違いなく、まず右上の小臼歯(下の図の黄色の矢印の歯)の根が折れて抜歯に至ったでしょう。そして、前歯で噛むようになると、前歯は食物を噛み切る構造にはなっていないため、歯が動き出して前突するか、抜け落ちるか、いずれかの結果が予想されます。

「入れ歯」を選択した場合のリスク
義歯は口腔内に入れておきますが、何かに保持されていないと、パカパカと動いてしまいます。そのため、どこかの歯に「クラスプ」と呼ばれる保持装置を引っかけることになります。このクラスプは、多くの場合、歯がない部分に隣接する歯にかけられます。
クラスプによって義歯が動くことは少なくなりますが、その力はクラスプがかかっている歯にダイレクトに伝わってしまいます。これは、ちょうど瓶と栓抜きの関係に似ています。つまり、義歯を入れることで、歯を引き抜く力が働いてしまうのです。さらに、神経を抜いてある歯の場合、歯を引き倒す力も加わるため、歯の根が折れる「歯根破折」を起こしやすくなります。
したがって、下のレントゲンの赤丸で囲まれた神経を抜いてある歯は、クラスプをかければ数年で抜歯となることが予想されました。また、左下(向かって右)は右よりはましですが、同様に抜歯となっていた可能性が高かったのです。

インプラント治療から20年後

上記のレントゲン写真は、初診時から20年後のものです。
驚くべきことに、ほとんどの歯が残存しています。特に、右側(向かって左)の神経を抜いた3本の歯が残っているのは特筆すべき点です。
20年前、この患者様はローンを組んでインプラント治療を受けられました。先日、ご本人に伺ったところ、長年かかって返済を終えられたとのことでした。しかし、今になって考えると、「あの時にインプラントにする決断をして本当によかった」と仰っていました。
現在、多少、上部構造(歯の噛む部分に相当するところ)の破折が見られますが、インプラント自体は全く問題なく、何でも食事ができるそうです。
さらに特筆すべきは、50代半ばになられたにも関わらず、非常に若々しく見えることです。もし入れ歯を選択し、現在もっと歯が失われていたら、その風貌も全く違っていたことでしょう。
インプラントは、適切に行えば、残っている歯を保存し、さらに歯が失われないための有効な選択肢です。そして、何でも「噛める」ということが、その方の健康、ひいては人生の質に直結することを改めて実感しました。
理事長 久保倉 弘孝
